0
Skip to Content
Home
Our Mission
What is Syringomyelia?
Team
Coming soon..
Testimonies
Past/Ongoing Research
Blog
Veterans
Donate
3 Phase Initiative
Sponsors & Supporting Organizations
FAQ
Disclosures
Syrinx Awareness & Athlete Coalition
Home
Our Mission
What is Syringomyelia?
Team
Coming soon..
Testimonies
Past/Ongoing Research
Blog
Veterans
Donate
3 Phase Initiative
Sponsors & Supporting Organizations
FAQ
Disclosures
Syrinx Awareness & Athlete Coalition
Folder: Welcome to SAAC
Back
Home
Our Mission
What is Syringomyelia?
Team
Coming soon..
Testimonies
Past/Ongoing Research
Blog
Veterans
Folder: Make All Voices Heard
Back
Donate
3 Phase Initiative
Sponsors & Supporting Organizations
Folder: Administrative
Back
FAQ
Disclosures
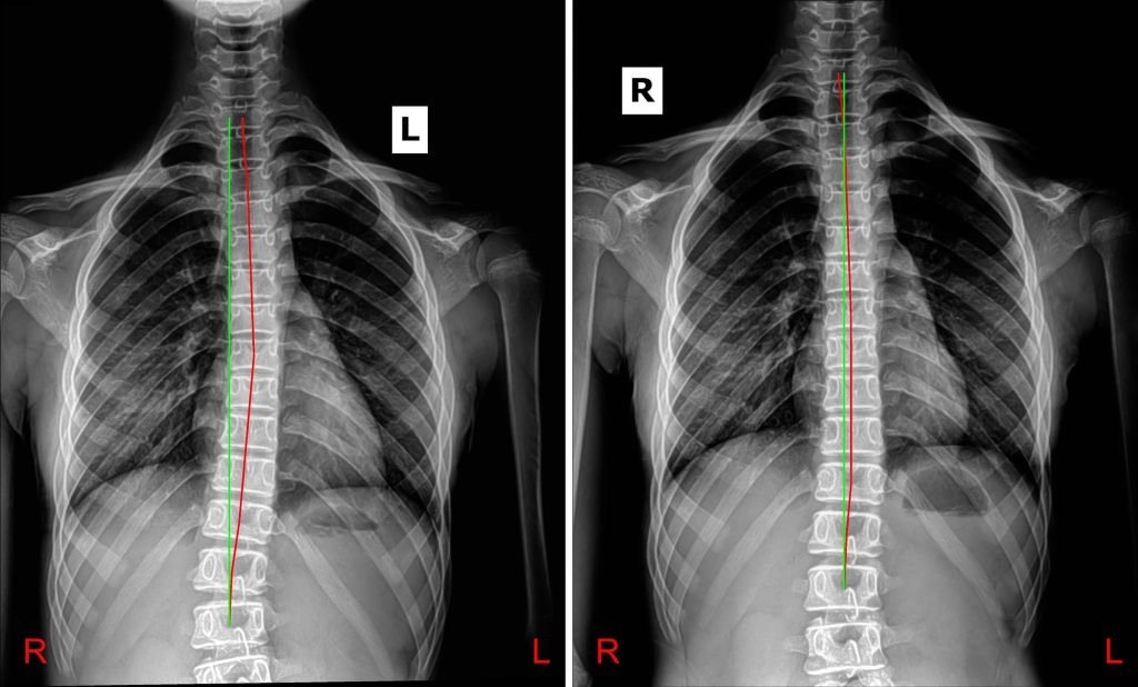
CHIROPRACTOR VS SYRINX
James & Megan . 2/15/26 James & Megan . 2/15/26

CHIROPRACTOR VS SYRINX

A look at chiropractic care with a syringomyelia patient

Read More
Introduction
James & Megan . 5/28/19 James & Megan . 5/28/19

Introduction

What this section is about

Read More

finally, you can say it….”i Am HEARD!”

TAX ID: 41-3095175

Location

Lebanon, TN 37087

Contact

SyrinxCoalition@gmail.com
Text: (615) 626-0202